What is Prosthodontics?
Prosthodontics is the dental specialty responsible for treating the needs of patients who no longer have their natural teeth, who have esthetic needs, who have complex dental needs (full mouth crown and bridge, and implants) and those who have a history of oral cancer, trauma, congenital or developmental considerations or need to have function restored.
The Graduate Prosthodontics Clinic at Marquette Dental School specializes in the restoration and replacement of teeth using implants, crowns, bridges and dentures, with emphasis on restoring optimum function and esthetics to your smile.
Your care will be provided by a resident who is a qualified dentist and is now being trained as a specialist. Our residents treat patients on a daily basis under the supervision of our Prosthodontic faculty.
See what our patients think of the treatment received at the Prosthodontics Clinic.
Services we provide
- Crowns
- Implants
- Dentures
- Cleanings
Who we serve?
- Adults: Yes
- Children: No
- Special needs: Yes
Becoming a Prosthodontics patient
- First, you will be screened by one of our faculty. There is a small fee for this screening and in addition, we must have a current panorex x-ray which will incur a charge if it is taken at the School of Dentistry. Because of the high interest in treatment in our clinic, there is a waiting list for our services.
- Second, individuals accepted as patients in our clinic will be assigned to a graduate prosthodontic resident for treatment planning. If you have pain or infection you will be evaluated for immediate emergency treatment.
- The third step in becoming an active patient is establishing a treatment plan for your needs. Typically, several treatment plans are considered to meet your particular health, esthetic, functional and financial needs. A $500 fee will be charged to collect records and make a treatment plan. If a treatment plan is accepted the $500 will be applied toward your care. If a treatment plan is not accepted the $500 cannot be returned.
You will choose one treatment plan, and by doing so, you are accepting all financial responsibility for that treatment plan. Before treatment begins, the estimated cost of treatment will be explained, and once accepted, your treatment will begin. One-third of the treatment cost is due upon starting treatment, the second-third is due when the laboratory phase of the treatment begins and the final third is due when the work is finished. The signed treatment plan and one-third payment represents the start of active treatment. For questions about the cost of treatment, call (414) 288-6508.
Being an active patient
Treatment is usually provided during 3-hour appointments when you receive individual attention from your Prosthodontic resident and faculty. Treatment will not occur without faculty supervision and recognition of signed treatment plans, updated medical and dental history, and verification of up-to-date payment of services. The continuity of care is important for your overall treatment, therefore we require at least 24 hours notice for cancellations. Any patient who misses or is more than 30 minutes late for 3 appointments in our clinic will be dismissed from our care.
Frequently asked questions
Expand all | Collapse all
How long will it take to be admitted into the Prosthodontic Graduate Clinic?
Six residents provide care for many patients. Our goals of teaching and clinical excellence takes time. It is not uncommon for admission following a screening visit or phone call inquiry to take several months. In addition, a referral from the School of Dentistry Predoctoral Student Dental Clinics is not a guarantee of admission and a waiting period is often necessary.
What happens when my resident graduates?
We strongly encourage all residents to complete assigned patient care. However, should delays be encountered, each patient is carefully and directly transferred to another resident. Should you experience complications or delays in this process, you are invited to contact the patient care coordinator or the program director immediately.
How is my treatment maintained?
Your treatment will be thoroughly evaluated by our faculty before, during and at delivery to assure there are no problems with your work. It is important that your concerns are addressed during these times, not after after completion of treatment. Upon completion of your care, it is important to have regular cleanings and annual recall appointments. Most patients will be referred back to their private dentist following completion of prosthodontic care at the School of Dentistry.
Treatment provided at the Prosthodontics clinic
Expand all | Collapse all
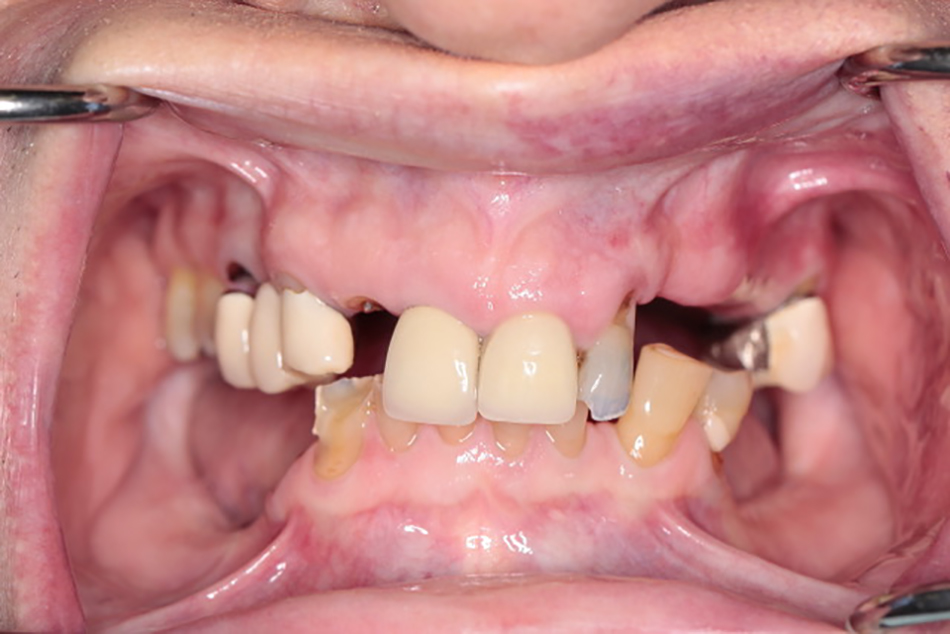
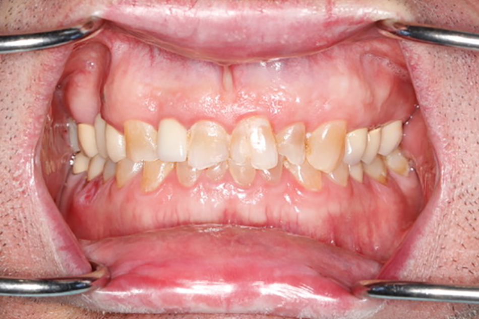
Patient 1 - Before
Patient presented with missing teeth. He was very unhappy with his smile and function.

Patient 1 - After
Patient rehabilitated with a complete denture in the upper jaw and implant supported fixed bridge on the lower jaw.

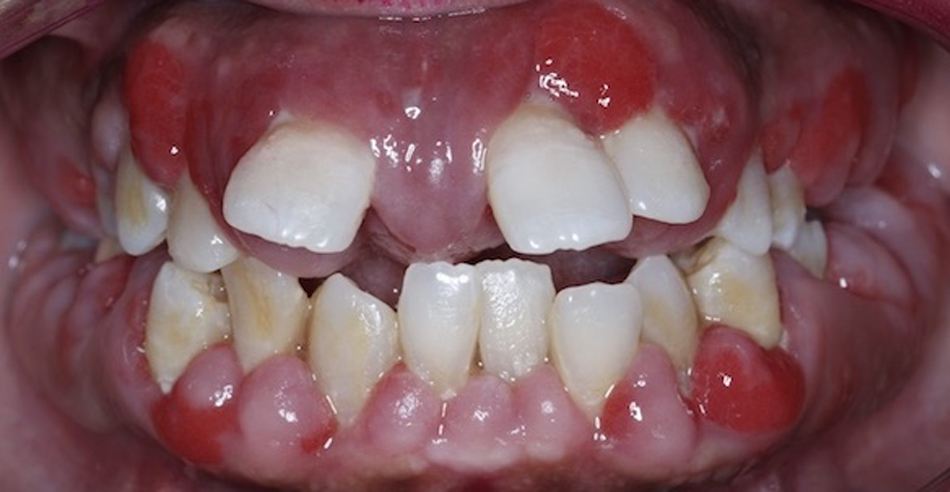
Patient 2 - Before
Pre-treatment patient presentation

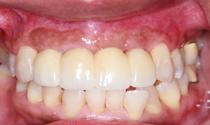
Patient 2 - After
Post treatment patient presentation following gum surgery, implant placement and restoration with crowns.

Full mouth fixed rehabilitation
Patient 3 - Before
Full mouth restoration case before treatment

Patient 3 - After
Full mouth restoration case after treatment

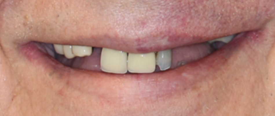
Patient 4 - Before
Pre-treatment patient presentation

Patient 4 - After
Post treatment patient presentation with upper complete denture and lower implant hybrid denture.

Patient 5 - Before
Pre-treatment patient presentation

Patient 5 - After
Post treatment patient presentation with upper complete denture and lower implant hybrid denture.
