Master in Prosthodontics

Hands-on experience led by dental health expert faculty

As Wisconsin’s only dental school, we offer the most progressive, clinical laboratory and didactic training at a post-graduate level in fixed, removable, maxillofacial and implant prosthodontics. Every step you take in our program will be guided by faculty and practicing professionals who uphold Marquette’s vision: to train highly skilled oral health care practitioners to bring top-quality dental care to urban and rural communities across the country — and around the world. We’ll prepare you to enter practice immediately upon graduation.

 

Join our three-year master's program in Prosthodontics

  • Small program, one-on-one education
  • Highly motivated faculty and staff
  • Strong biomaterials research capabilities
  • Full-time, in-house certified dental laboratory technician
  • Large patient population

 


 

42

Total Credits

3

Years to Complete*

 

 

 

 

Expand all   |   Collapse all  

M.S Program Details

The purpose of the prosthodontic residency program is to provide progressive clinical, laboratory and didactic training, closely supervised, at the post-graduate level in fixed, removable, maxillofacial and implant prosthodontics. The interrelation of other medical/dental clinical specialties is also emphasized. The program integrates a research project in the biomedical sciences with a comprehensive clinical experience culminating in the award of a master of science in dentistry.

Our program is three years in length and is accredited by the Commission on Dental Accreditation. Successful completion leads to specialty certification and qualifies the graduate for examination by the American Board of Prosthodontics. The flexibility of the program permits the postdoctoral student to progress optimally, developing and building upon his or her background. Each student is assigned his/her own clinic operatory, study area and laboratory bench. The in-house laboratory is capable of fabricating all fixed and removable prostheses required in the program. Board-certified faculty and assisting staff support and advise students throughout all phases of prosthodontic treatment.

The program accepts two residents per year and typically begins in each June. Students must be in the area and settled before that time. There is a summer orientation with prosthodontic-specific material before core courses start.

To see the yearly program fee, click here. The fee is billed to the student each July, and special payment plans may be arranged with the Office of the Bursar. There are additional fees for dental instruments, equipment (articulator, clinical camera, surgical telescopes, etc.) and instrument rental. 

Program Highlights

  • Small program, one-on-one education
  • Highly motivated faculty and staff
  • Strong biomaterials research capabilities
  • Full-time in-house certified dental laboratory technician
  • Large patient population

State-of-the-Art Prosthodontic Facilities

Clinic Features

  • The department uses digital radiography, and all patient records are electronic.
  • Daylight corrective overhead lighting.
  • North-facing windows so optimal esthetic outcomes may be realized.
  • Abundance of natural light in the clinic and in the laboratory relaxes the patients and providers.
  • Implant surgical suite for placing implants.
  • Modern technology to plan implant placement, guide surgery and design restoration of implants and natural teeth. 
  • Cone beam CTs are acquired at our institution.

Treatments Completed at the Prosthodontic Clinic

  • Implant hybrid dentures 1
  • Implant hybrid dentures 2
  • Implant hybrid dentures 3
  • Maxillary and mandibular complete dentures - Before treatment
  • Maxillary and mandibular complete dentures - After treatment
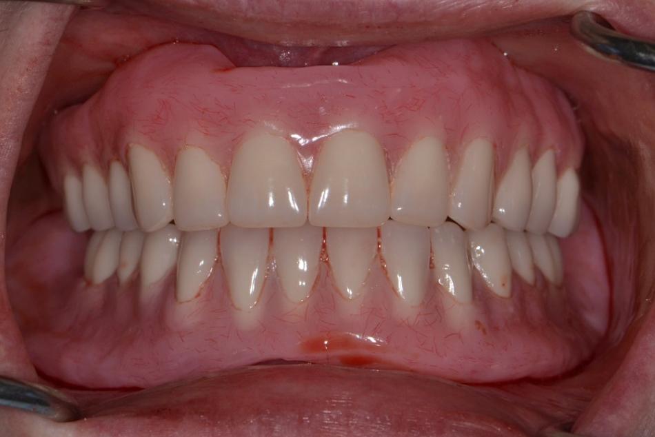
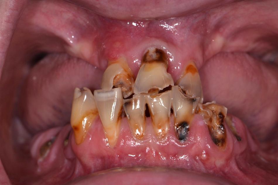
  • Implant supported maxillary and mandibular hybrid dentures - Before treatment
  • Implant supported maxillary and mandibular hybrid dentures - After treatment 1
  • Implant supported maxillary and mandibular hybrid dentures - After treatment 2

Take the next step towards your future.

I'M READY TO APPLY

See Application Details tab for the 2-step process


 

  • Contact Us
  • Application Details
  • Faculty
  • Financial Aid

Ready to learn more about Marquette's Prosthodontics Graduate program? Request more information now or schedule a campus visit.

Graduate Program Recruiter

Jack Nortman

(414) 288-5986

jack.nortman@marquette.edu



Email the Graduate School

*required field

Loading...

Application Deadline

September 1 for program starting in June of the following year.

Apply through PASS

Applications are initially made through Postdoctoral Application Support Service (PASS) of the American Dental Education Association. A complete application is required for consideration. 

APPLY AT ADEA PASS

 

  • Official transcripts from all current and previous colleges/universities except Marquette
  • Undergraduate and dental school grade-point averages, and class rank in dental school.
  • Three letters of recommendation reflecting the applicant’s clinical and academic abilities.
  • Scores from the National Board Dental Examinations, Part I and Part II OR the Integrated National Board Dental Examination. Not required from graduates of non-U.S./non-Canadian dental schools but recommended.
  • A curriculum vitae and a personal statement.
  • For international applicants only: a TOEFL score of 100 for Internet-based test; 550 for paper-based test or other acceptable proof of English proficiency.
  • All applicants must be prepared to appear for a personal interview in Milwaukee during September, October or November. This occasion has a twofold purpose. Faculty members in the program have the opportunity to become better acquainted with the applicant, and applicants have the opportunity to become acquainted with various facets of the program to which they are applying. Phone interviews are not acceptable.

Geoffrey A. ThompsonProgram Director- Dr. Ayman A. Ahmed, B.D.S., M.S., Ph.D., F.A.C.P.

Dr. Ayman Ahmed received his dental degree with honors from Mansoura University, Egypt. He served as Prosthodontic faculty at a dental school in his hometown where he also had a private practice. Dr. Ahmed went on to finish his Masters before starting his Ph.D. in a joint supervision program between Mansoura University and University of Texas - MD Anderson Cancer Center. Dr. Ahmed pursued training in the US through a Prosthodontics residency program at the University of Iowa and became board certified in Prosthodontics in 2014, the same year he joined Marquette University School of Dentistry as an Associate Professor. He is currently the Pre-doctoral Program Director of Prosthodontics and Biomaterials and Interim Director of Graduate Program in Prosthodontics. Dr. Ahmed’s research focus is on implants and head & neck cancer.

See all faculty bios

Private scholarships may be available. U.S. citizens and permanent residents may be eligible to apply for need-based federal aid (loans) to help fund their educational expenses.